047-451-1222
月火水金:9:30 - 13:00/15:00 - 19:00
土:9:30 - 13:00/15:00 - 18:00(木、日、祝日休診)
イメージ

マウスピース矯正

マウスピース矯正の効果はいかに。

誰でも歯並びは気になりますよね!

出たり入ったりねじれたりと人それぞれ状況も違います。歯並びを治すには矯正力を歯や顎に力を加えて、歯を移動する必要があります。
その矯正力を従来の矯正線ではなく、透明なマウスピースで行うといろんなメリットがあります。

一般歯科診療イメージ

前歯の隙間が気になると来院された26歳男性です。
以前から矯正治療に興味、関心を持っていたが、歯に留める装置やワイヤーが目立ったりとても痛いのではないかと心配し、なかなか治療に踏み出せなかったようです。
矯正治療を行う前はいろいろ調べますが、下顎と上顎の両方の矯正治療が必要であることがわかりました。歯並びを悪くさせる原因も調べ必要に応じ、唇や舌の機能訓練をしたり、鼻で呼吸ができるように、鼻うがいを日課にしていただいたり、栄養指導を行ったりもします。
むし歯がある場合は事前に治療が必要ですし、矯正治療中にむし歯の発生にならないようにホームケアの指導も行います。

お口の中を常にきれいな状態にしておくことは歯科予防とともに、すべての歯科治療の良好な予後につながります。

マウスピース矯正イメージ

矯正の装置の選択においては、ワイヤー矯正とマウスピース矯正とどちらでも適応が可能でしたので、患者さんと相談の結果マウスピースで、矯正を行うことにいたしました。

歯に装着する装置は硬質プラスティックで出っ張りのようなものを張り付けるのみです。
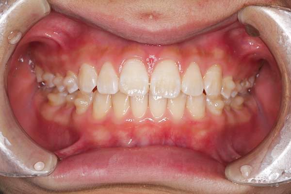
写真は矯正開始6週間後です。(第3ステップ終了後)







マウスピース矯正イメージ

そして厚さ約1ミリの透明なマウスピースを1日20時間以上装着します。
(食事と口腔ケア以外ずっと装着するイメージです。)

必要があれば歯と歯のあいだの形を削り、整える場合があります。その後は、こちらのマウスピースを2週間ごとに交換していきます。








マウスピース矯正装着イメージ

マウスピースを装着するとこの様な見た目になります。










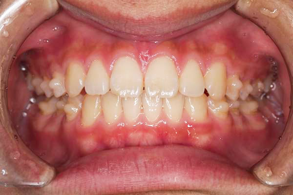
マウスピース矯正開始10週間後イメージ

矯正開始10週間後です。(第5ステップ終了)
歯と歯の隙間は解消しましたが、歯それぞれの中心軸を改善していく必要があります。









マウスピース矯正開始14週間後イメージ

矯正開始14週間後です。(第7ステップ終了)










マウスピース矯正開始20週間後イメージ

矯正開始20週間後です。(第10ステップ終了)
20週間でここまで改善しました。

『マウスピースの装着感は、初めは違和感があったけど、3日ぐらいで装着しているかも分からないぐらいになった。歯を押される感じはあったけど痛みはほとんど感じませんでした。』との事です。

歯並びで悩んでいる方に勧めるか質問すると、
『絶対勧めます。自分自身、中学生の時からずっと悩んでいたのに思っていた以上に早く隙間がなくなって本当に嬉しいから。』ともコメントをいただきました。


この後は後戻りを起こさない様に徐々に装着時間を短くしますが、引き続き固定するためにマウスピースを装着して頂きます。

鈴木歯科医院ではマウスピース矯正でも特長が正反対のシステムを2システム導入しています。
患者さんの歯並びの状況や、可能な来院頻度や様々な条件でシステムの選択を行なっています。

マウスピース矯正を行う利点としては、

  • 使用する部品が少ない。
  • 装置が目立ちにくい。
  • おおよその治療期間が治療開始前から判る。
  • 比較的に短時間で治療を行なえる。
  • 治療費を抑えることができる。

以上、患者さんの状況に合わせた治療方法を計画し、行なっております。

当院の取り組みについて