
カリソルブを使用した虫歯の除去では、低侵襲な治療が可能です。
って言うと、とても格好がいいですが、簡単に言うと歯にやさしいってことです。
歯を削ると考えている以上のダメージが内部で起こっています。時により歯の内部の歯髄が、突然生活反応がなくなるのです。よく、神経死んでるって呼ばれる状態です。自分の体の中にある組織が死んでいるって、皆さん悲しいと思いませんか?
生活していない組織は簡単に細菌の温床になってしまいます。それだけでなく、歯そのものの強度が極端に弱く脆くなってしまいます。なので、鈴木歯科医院では健康な状態で生きた歯にこだわります。
治療でカリソルブを使用するということは象牙質までむし歯が進んだ状態です。
決して小さい虫歯ではありません。進行してしまった事を責めるつもりもありません。それを教訓になぜむし歯になったのか考えましょう。
そして、対応策を考え実行し、しっかり治しましょう。その後は3ヶ月ごとの定期検診を行い、むし歯も歯周病も発生予防と早期発見できるようにしましょう。
今回は、大きいむし歯にカリソルブを使用して、ダイレクトボンディングと呼ばれる方法で、仕上げた症例について話を進めてみたいと思います。
とても大きいむし歯です。まずは、歯髄が生きているかを調べます。
電気歯髄診断と呼ばれる方法で生活反応がありました。
患者さんご自身でも、今までに痛くなったことはないと言っていました。
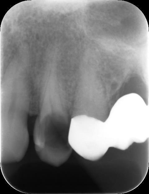
レントゲン写真でも大きなむし歯のような歯の欠損を認めるものの、根の先や周囲には影などはありませんでした。総合的に歯髄を残せると判断しました。
治療を行いやすくするために、歯にラバー製のマスクをクリップで止めました。
カリソルブイ 違った!カリソルブを虫歯に塗布し、30秒放置します。
するとむし歯は、とても柔らかく溶解するので、手持ちの道具で掻き出していきます。
ほとんどのむし歯を削らないで、溶かしていく事ができます。
カリソルブでむし歯除去後です。
カリソルブは、生物学的な根拠があり、むし歯と生活している歯髄の間には必ず細菌のいない硬い層があり、その部分が保存可能なのです。だから大きなむし歯でも歯髄を残せます。
むし歯を除去した後は歯を作っていきます。
歯をしっかり処理をして、歯の内部の色、表面の色、透明感を与える色の修復材料を直接接着させていきます。
鈴木歯科医院ではセラミックスを特殊なセメントで接着させる方法と、今回のように直接修復するダイレクトボンディングを推奨しています。
どこを治したかわかりますか?銀歯の隣の歯です。
歯の神経を残すということは、今後の歯の予後を良好な結果に保つことにつながります。
カリソルブ療法は、積極的な歯髄保護が可能であり、非常に有益な治療であると思います。